Case ID: 3418
Individual results may vary.
Case Details
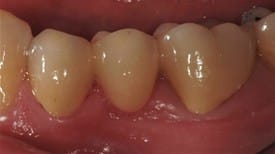
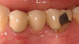
Before: 3 Unit bridge with chipped porcelain molar (supporting metal showing on molar tooth), poor enamel color match to patient’s natural teeth, and poor fit around the patient’s gumline. After: Replaced Bridge with an All Porcelain Bridge. The new bridge now also matches the patient’s natural tooth color and was designed to properly fit around the gumline. Proper fit aids in decreasing decay and the ease of the patient’s ability to clean around a bridge.
View Angle: Front

After

Before
