Case ID: 3453

Individual results may vary.

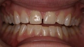
Case Details

This patient wanted to lighten her teeth, close the space between her front teeth and noticed that her front teeth were being worn flat. Dr. Von Tersch designed and delivered porcelain veneers on all of her top and bottom teeth and crowns on her back teeth to help support her bite. Dr. Von Tersch also made her a night guard to protect her new smile from future damage.

View Angle: Front


After

Before